
인류 역사 속에서 지속되어 온 질병인 결핵은 현대에도 그 그림자를 드리우고 있습니다. 단순한 역사적 유물인 결핵 또는 결핵 이상의 문제는 전 세계적으로 수백만 명의 사람들에게 영향을 미치고 있는 긴급한 글로벌 건강 문제로 남아 있습니다. 이 블로그에서 우리는 결핵의 역사적 뿌리부터 진단, 치료, 예방에 직면한 현대적 과제에 이르기까지 결핵의 미묘한 차이를 이해하기 위한 여정을 시작합니다.
1. 결핵의 역사
결핵(TB)은 수세기에 걸쳐 길고 복잡한 역사를 지닌 고대 전염병입니다. 결핵은 최근에 발생한 현상이 아닙니다. 증거는 수천 년 동안 인간 집단에 존재했음을 시사합니다. 고대 이집트와 인도의 골격 유적에서는 척추 결핵의 징후가 나타나며, 이는 이 질병이 기원전 2400년까지 이 지역의 사람들에게 영향을 미쳤음을 나타냅니다. 그리스인들은 이를 "프티시스(phthisis)"라고 불렀고, 로마인들은 이를 "백사병"이라고 불렀습니다. 이 용어는 질병의 진행 단계와 관련된 특징적인 소모 및 창백을 반영합니다. 중세 시대에 결핵은 유럽에서 더욱 널리 퍼졌고 인구 밀도와 제한된 의학 지식과 같은 요인으로 인해 더욱 악화되었습니다. 르네상스 시대에는 결핵이 사회에 미치는 영향이 문학과 예술에서 주목을 받았고, 셰익스피어도 그의 희곡에서 이를 언급했습니다. 19세기 산업혁명과 도시화는 결핵 확산에 기여했습니다. 격리의 필요성을 인식하여 결핵 환자를 격리하고 전염을 제한하기 위해 전문 치료 시설인 요양소를 설립했습니다. 19세기 후반은 독일 의사 로베르트 코흐의 획기적인 연구로 전환점이 되었습니다. 1882년에 Koch는 결핵을 일으키는 박테리아인 결핵균(Mycobacterium tuberculosis)을 확인하고 분리했습니다. 이 발견은 Albert Calmette와 Camille Guérin은 20세기 초에 BCG(Bacillus Calmette-Guérin) 백신을 개발할 수 있게 했습니다. 비록 그 효과는 다양하지만 BCG 예방접종은 특히 결핵 유병률이 높은 지역에서 전 세계 결핵 통제 노력에 중요한 도구로 남아 있습니다. 20세기 중반에는 항생제가 출현하여 결핵 치료에 혁명을 일으켰습니다. 최초의 효과적인 결핵 약물인 스트렙토마이신은 1944년에 출시되었습니다. 그 후 수십 년 동안 세계보건기구(WHO)가 승인한 결핵 통제를 위한 글로벌 전략인 DOTS(직접 관찰 치료, 단기 과정)로 알려진 약물 조합이 출시되었습니다. 세계보건기구(WHO)의 결핵 퇴치 전략은 2015년부터 2035년까지 결핵 사망자를 95% 줄이고 신규 사례를 90% 줄이는 것을 목표로 하고 있습니다.
2. 증상
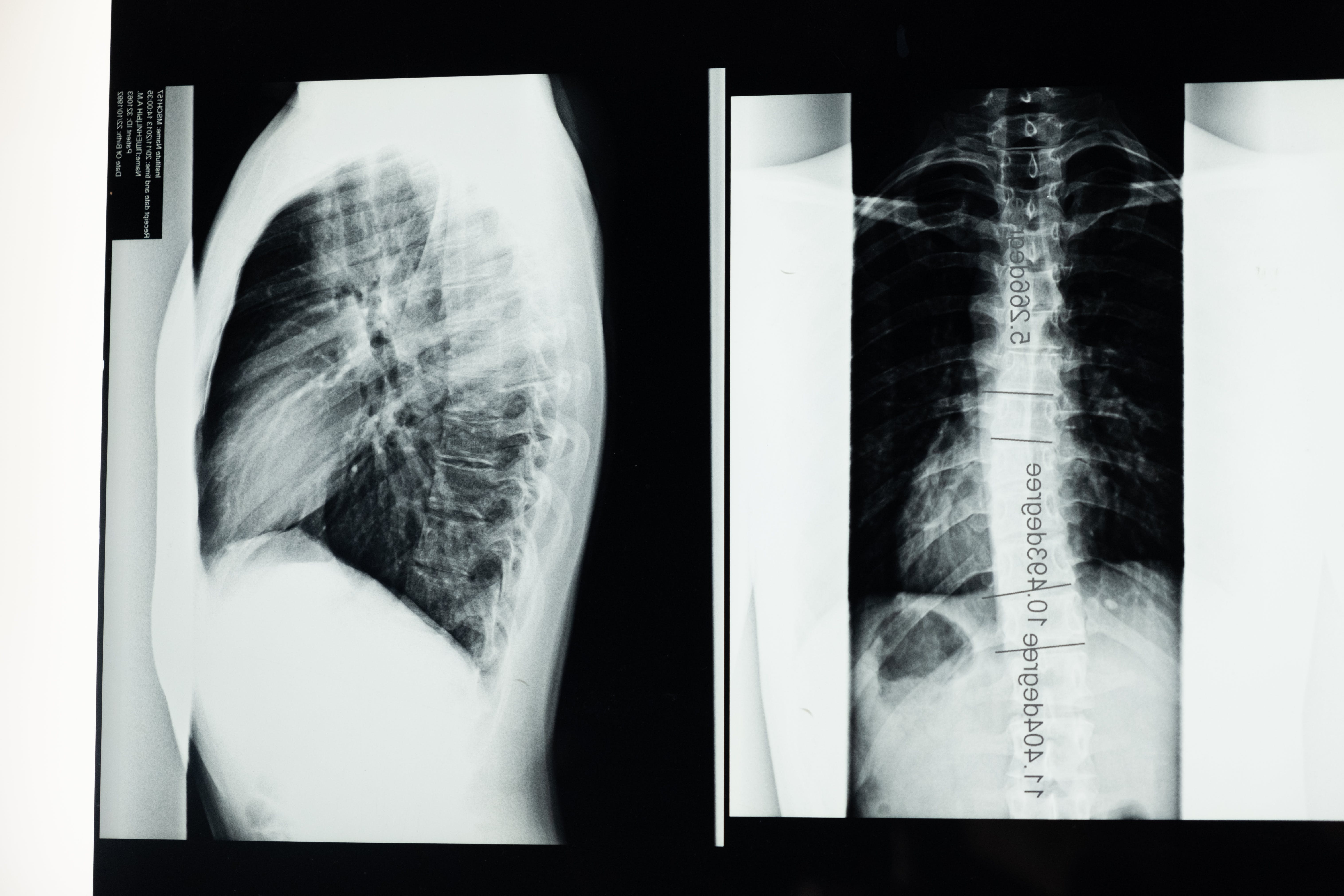
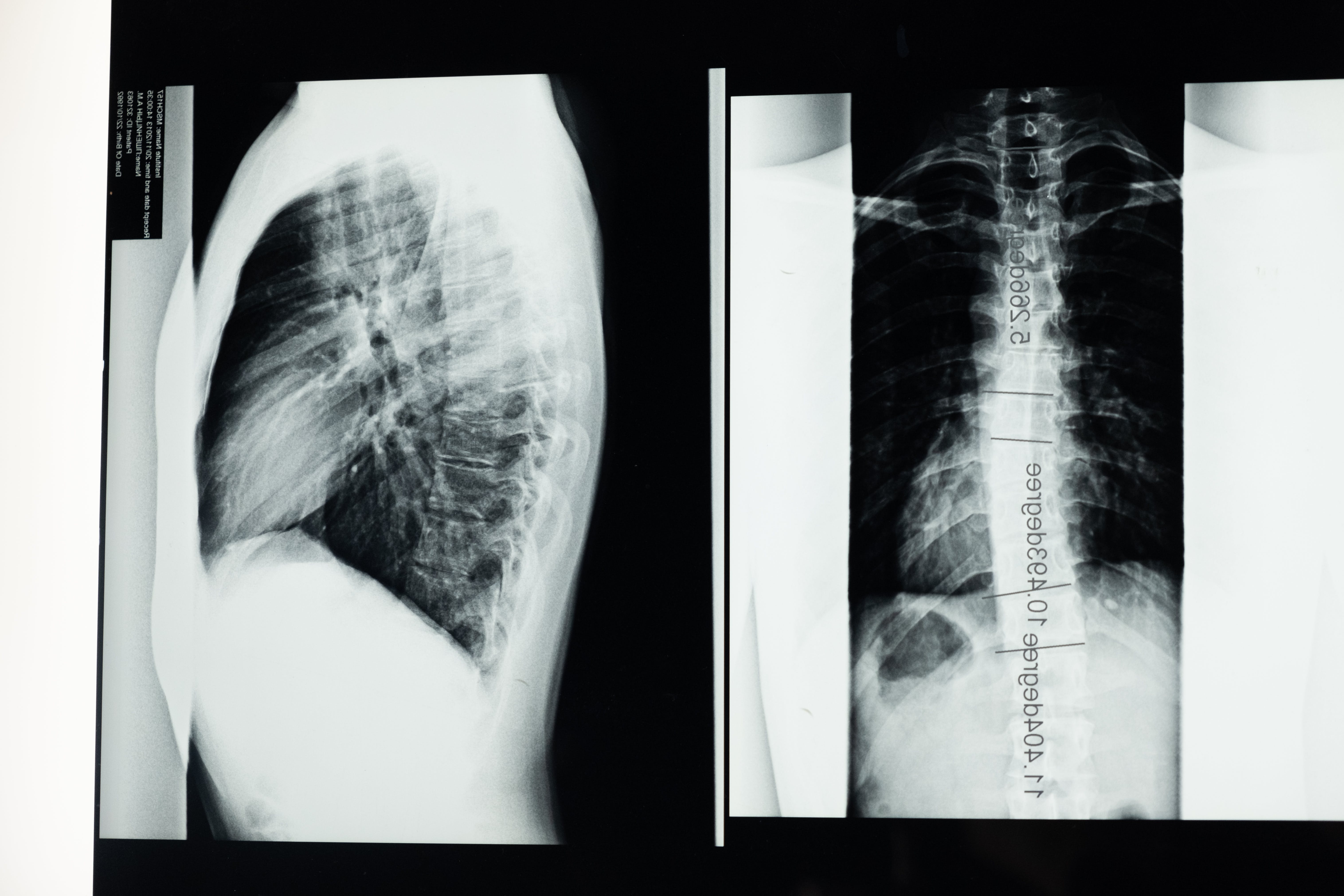
결핵의 증상 중 하나는 3주 이상 지속되는 기침입니다. 이 기침은 가래를 생성할 수 있으며 이는 호흡기의 침범을 나타냅니다. 결핵은 의도하지 않고 설명할 수 없는 체중 감소로 이어질 수 있습니다. 감염이 진행됨에 따라 신체의 에너지 보유량이 고갈되어 체중이 눈에 띄게 감소합니다. 만성 피로와 허약함은 결핵의 일반적인 증상입니다. 감염은 신체의 에너지 보유량을 고갈시켜 개인이 지속적으로 피곤하고 쇠약해지는 느낌을 줄 수 있습니다. 장기간 지속되는 미열은 결핵의 전형적인 증상입니다. 야간 땀이 발생할 수도 있으며, 이는 수면 중에 개인이 땀에 흠뻑 젖어 전반적인 불쾌감을 느끼게 합니다. 결핵이 진행됨에 따라 폐 기능에 영향을 미쳐 호흡 곤란을 초래할 수 있습니다. 이 증상은 신체 활동 중이나 질병이 진행됨에 따라 더욱 두드러질 수 있습니다. 결핵은 특히 심호흡이나 기침 중에 흉통을 유발할 수 있습니다. 이 통증은 종종 폐 침범을 나타내며 경미한 불편함부터 보다 심각한 감각까지 다양합니다. 결핵 환자는 일반적으로 식욕 상실을 경험하여 체중 감소를 더욱 악화시킵니다. 먹고 싶은 욕구가 감소하는 것은 신체가 감염과 싸우기 위해 에너지를 방향 전환한 결과입니다. 결핵은 특히 목이나 겨드랑이 같은 부위의 림프절을 비대하게 만들 수 있습니다. 이렇게 부은 결절을 만지면 아플 수 있습니다. 어떤 경우에는 결핵이 관절통, 부기, 염증을 유발하여 이동성에 영향을 미치고 신체에 전반적인 부담을 가중시킬 수 있습니다.
3. 결핵의 예방
결핵 예방은 강력한 전략에 달려 있습니다. 예방접종, 특히 BCG(Bacillus Calmette-Guérin) 백신은 특히 유병률이 높은 지역에서 보호를 제공합니다. 잠복성 결핵 감염을 확인하고 치료하면 활동성 결핵으로 진행될 위험이 줄어듭니다. 활동성이 있는 경우에는 장기간에 걸쳐 항생제를 병용하는 것이 표준 치료법이 됩니다. 재발과 약물 내성 균주의 출현을 예방하려면 처방된 요법을 준수하는 것이 가장 중요합니다. 공중 보건 계획은 중추적인 역할을 합니다. 교육 캠페인, 개선된 의료 인프라, 사회 경제적 격차 감소는 결핵 통제에 기여합니다. 이 회복력이 강한 적과 맞서 싸우려면 전 세계적인 규모의 협력 노력이 필수적입니다. 결핵의 이야기는 아직 끝나지 않았습니다. 그 지속성은 지속적인 연구, 인식 및 글로벌 협력의 필요성을 강조합니다. 영상 및 실험실 검사를 포함한 의학적 평가를 통한 조기 진단은 질병의 효과적인 관리와 확산 방지에 매우 중요합니다. 결핵의 복잡성을 탐색하면서 우리는 증상을 치료할 뿐만 아니라 결핵의 존재를 영속시키는 사회 경제적 요인도 해결해야 합니다. 결핵에 맞서 단결된 전선을 조성함으로써 우리는 결핵을 역사의 기록으로 남겨 결핵의 영향이 줄어들고 삶이 더 이상 결핵의 그늘 아래 있지 않게 되는 것을 목표로 합니다.